ARDMS AE-Adult-Echocardiography Question Answer
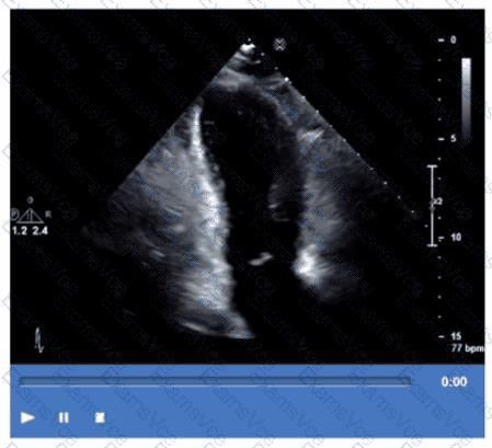
Which coronary artery territory is associated with the wall motion abnormality demonstrated in this video?

ARDMS AE-Adult-Echocardiography Summary
- Vendor: ARDMS
- Product: AE-Adult-Echocardiography
- Update on: Mar 25, 2026
- Questions: 137

