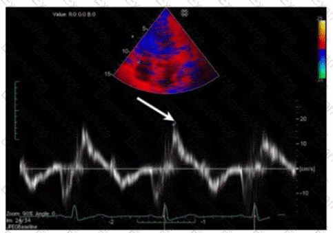
ARDMS AE-Adult-Echocardiography Question Answer
Which measurement is indicated by the arrow on this image?

ARDMS AE-Adult-Echocardiography Summary
- Vendor: ARDMS
- Product: AE-Adult-Echocardiography
- Update on: Mar 25, 2026
- Questions: 137
ARDMS AE-Adult-Echocardiography Question Answer
Which measurement is indicated by the arrow on this image?

Your purchase with ExamsVCE is safe and fast. Your products will be available for immediate download after your payment has been received.
The ExamsVCE website is protected by 256-bit SSL from McAfee, the leader in online security.