ASCP ASCP-MLT Question Answer
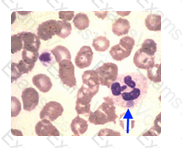
May-Hegglin anomaly is a rare autosomal dominant condition in which patients are at risk for bleeding and infections. It is characterized by the presence of large Dohle body like inclusions within neutrophils, eosinophils, basophils, and monocytes.
The WBC anomaly indicated by the arrow in this illustration is:

ASCP ASCP-MLT Summary
- Vendor: ASCP
- Product: ASCP-MLT
- Update on: May 22, 2026
- Questions: 572

