ASCP ASCP-MLT Question Answer
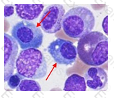
The cells are plasma cells. They are larger than normal small lymphocytes with more abundant cytoplasm. The cytoplasm is more basophilic than the cytoplasm of a normal lymphocyte and a well-defined perinuclear halo (clearing in the golgi area) is noticeable. The nucleus is eccentrically placed. Plasma cells are counted in a separate category on a bone marrow differential.

Hematogones are blast-like cells that are more mature than lymphoblasts. They are usually tallied with lymphocytes when performing a bone marrow differential.
What are the cells that are indicated by the red arrows in the image on the right?
ASCP ASCP-MLT Summary
- Vendor: ASCP
- Product: ASCP-MLT
- Update on: May 22, 2026
- Questions: 572

